Introduction to Mottled Hyperpigmented Lesions/Patches:
- Common skin condition with unknown pathogenesis
- Associated with solar and hormonallystimulated melanocytes (increasing melanocyte stimulation hormone, MSH) causing uneven increases in facial melanin.
- More commonly found in races with higher pigmentation but can occur in all skin types.
V. Sheth et al, JAAD (2010) https://doi.org/10.1016/j.jaad.2010.12.046

Mechanism of Action:
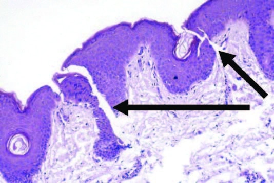
- Induce keratinocyte turnover and “restore” the normal pigment activity of melanocytes in over pigmented areas.
- This occurs at the dermal-epidermal junction (DEJ).
- This DEJ-shallow dermis area is the target depth to microneedle. See arrows where microchannels are formed

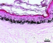
Epidermal melanin density in melasma before procedure

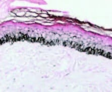
Reduction in epidermal melanin density 1 week after microneedling procedure
Cassiano et al., Indian Journal of Dermatology, Venereology and Leprology | Volume 85 | Issue 6 | November-December 2019
SkinPen® Precision and Pigmentation Conditions
Introduction to Pigmentation Conditions:
Solar lentigines occur due to excessive production of melanin pigment which results from overexposure to UV rays from the sunlight or tanning beds



Crown Aesthetics, data on file ; Global Aesthetic Improvement Scale (GAIS)
Mechanism of Action:
- Induce keratinocyte turnover and “restore” the normal pigment activity of melanocytes in over pigmented areas.
- This occurs at the dermal-epidermal junction (DEJ).
- This DEJ-shallow dermis area is the target depth to microneedle. See arrows where microchannels are formed
Courtesy of Rosenpark Research, Dr. Sonja Sattler


SkinPen® Precision and Hypopigmented patches
Introduction to Hypopigmented patches:
- Hypopigmented patches occurs when pigment-producing cells (melanocytes) die or stop producing melanin.
- The involved patches of skin become lighter or white. It’s unclear exactly what causes these pigment cells to fail or die.
- It may be related to:
- A disorder of the immune system (autoimmune condition)
- Family history (heredity)
- A trigger event, such as stress, severe sunburn or skin trauma, such as contact with a chemical

Mechanism of Action:
- Induce the activation, migration, and/or proliferation of melanocytes into hypopigmented areas at the dermal-epidermal(DEJ). This shallow dermis area is the target depth.
- Also, mechanical trauma stimulates the melanocytes migration from the pigmented areas to unpigmented areas.
- Microneedling may increase the number of pigment cells and stimulate more pigment production
- Studies in literature indicate that 6 or more treatments may be necessary to begin to see improvement

Ebrahim et al. J Cosmet Dermatol. 2020;00:1–8.

Microchannels provide space for melanocytes to migrate into non-pigment areas
Fernandes, D. OralL, maxillofacial Surg Clin 2005; 17:51-63
